Logotipo del Centro de Especialidades Neurológicas - Cerebro dividido en partes de colores azules.

Centro de Tumores
Cerebrales

En el centro de tumores cerebrales...

Queremos brindarte el mejor apoyo

Sabemos que estas pasando por un momento en que necesitas tomar decisiones, por lo que te brindamos información respaldada por profesionales. 

En este centro virtual tendrás a tu alcance  toda la información que necesitas a lo largo de este proceso. Nuestro objetivo es estar cerca de ti.

Información adicional

Información de utilidad actualizada día con día

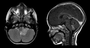
Cordoma / Condrosarcoma

Los cordomas son tumores agresivos que se originan en los huesos de la base del cráneo y la columna vertebral. Estos tumores generalmente tienen un crecimiento lento que puede ser asintomático.

Seguir leyendo »

Enfermedades Cerebrovasculares

Las Enfermedades Cerebrovasculares son una de las causas más frecuentes de morbimortalidad según la OMS (Organización Mundial de la Salud). Estas enfermedades comprenden a un diverso grupo de patologías que causan alteraciones en el flujo sanguíneo cerebral pudiendo causar afecciones devastadoras.

Seguir leyendo »

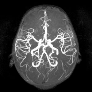
Aneurisma Cerebral

Un aneurisma es la dilatación de un vaso sanguíneo en el cerebro, generalmente una arteria cerebral. Estos aneurismas están formados por una debilidad de la pared de la arteria formando una dilatación que, debido a la debilidad de su pared, tiene riesgo de romperse.

Seguir leyendo »

Ependimoma

Los ependimomas son de los tumores cerebrales más frecuentes en niños, aunque pueden aparecer en cualquier edad. Estos tumores son un tipo de glioma que se originan de las células ependimarias que recubren el sistema ventricular y/o médula espinal.

Seguir leyendo »

Segunda opinión

Entendemos que necesitas información adicional para tomar la mejor decisión para tu salud.  Por lo que contamos con un programa de Segunda Opinión el cual nos puedes enviar tus estudios por vía digital de manera gratuita siguiendo las instrucciones a continuación:

Conoce a

Nuestro equipo de Neurocirugía

Dr. Diego Méndez Rosito

Neurocirugía

Conoce a nuestros

Fellows de neurocirugía de base de cráneo

Dr. Elías Emmanuel Zorrilla Madera

Fellow de Neurocirugía de Base de Cráneo

Dra. Sheila María del Mar Borrayo Dorado

Fellow de Neurocirugía de Base de Cráneo

Dr. Francisco Javier Sánchez Gallardo

Fellow de Neurocirugía de Base de Cráneo

Conoce A

Nuestro equipo de Neuro-Otorrinolaringología

Dra. Marité Palma Díaz

Neuro-Otorrinolaringología

Conoce a

Nuestro equipo de neuro-endocrinología

Dr. Daniel Cuevas Ramos

Neuro-endocrinología

Dr. Miguel Ángel Gómez Sámano

Neuro-endocrinología

Conoce a

Nuestro equipo de anestesiología

Dr. Guillermo Domínguez Cherit

Anestesiología / Medicina Interna / Medicina Crítica

Dra. Marissa Minutti Palacios

Anestesiología

Dra. Ana Lucía Domínguez Franco

Anestesiología / Dolor y Cuidados Paliativos

Conoce a

Nuestro equipo de Neurología

Dr. Gerónimo Pacheco Aispuro

Neurocirugía

Conoce a

Nuestro equipo de Medicina Interna / Medicina Crítica

Dr. Jesús Rodríguez Andoney

Medicina Interna / Medicina Crítica

Conoce al

Equipo de rehabilitación física

Karla Hurtado A.

Fisioterapia

Permítenos ayudarte en tu diagnóstico...

 

Camino de Sta. Teresa 1055-S, Heroes de Padierna, Héroes de Padierna, 10700 Ciudad de México, CDMX🇲🇽 

Teléfono: (+52) 55 5677 9301            Whatsapp: 55 4416 6917

Dr. Diego Méndez Rosito

Neuro-cirugía

Diego Méndez Rosito es el Director del Curso Base de Cráneo y Jefe de la Clínica de Hipófisis en el CMN 20 de Noviembre del ISSSTE en la Ciudad de México. Completó su residencia en el Instituto Nacional de Neurología y Neurocirugía. Fue galardonado con una beca en Little Rock, Arkansas. Es especialista en tumores de base de cráneo. Comparte la filosofía de 360º en el enfoque de patología, utilizando endoscopia o microcirugía abierta dependiendo de las necesidades de cada persona en particular. En caso de tumores complejos el Dr. Méndez recomienda el abordaje extradural de base de cráneo. Es miembro activo de la NASBS, la Sociedad Internacional de Meningiomas, la SMNC. Es Presidente del Capítulo de Base de Cráneo en la Federación Latinoamericana de Sociedades de Neurocirugía.

Dr. Elías Emmanuel Zorrilla Madera

Fellow de Neurocirugía de Base de Cráneo

  • Doctor en Medicina, Escuela Latinoamericana de Medicina (ELAM) Graduado con Diploma de Oro) La Habana, Cuba. 2007-2013.
  • Titulo Homologado y emitido por la Universidad Autónoma de Santo Domingo (UASD) Summa Cum Laude. 2007-2013. 
  • Especialista en Neurocirugía, Instituto de Neurología y Neurocirugía “Dr. Rafael Estrada González”, Universidad de Ciencias Medica de La Habana, Cuba.
  • Facultad Manuel Fajardo (2016-2021)

 

Dra. Sheila María del Mar Borrayo Dorado

Fellow de Neurocirugía de Base de Cráneo

  • Médico y Cirujano egresada de la Universidad de Guadalajara
  • Residencia de Neurocirugía en el Hospital Civil de Guadalajara «Fray Antonio Alcalde».
  • Rotación en Arkansas Neuroscience Institute

Dr. Francisco Javier Sánchez Gallardo

Fellow de Neurocirugía de Base de Cráneo

  • Originario de Mexicali B.C.
  • Médico y Cirujano egresado de la Universidad Autónoma de Baja California (Mexicali)
  • Residencia de Neurocirugía en el Hospital Reg. Lic. Adolfo López Mateos (ISSSTE)

Dra. Marité Palma Díaz

Neuro Otorrinolaringología

  • Médico y Cirujano egresada de la UNAM
  • Otorrinolaringología egresada del Hospital Regional Adolfo López Mateos ISSSTE
  • Neuro Otorrinolaringología en el Instituto Nacional de Neurología y Neurocirugía “Manuel Velasco Suárez”
  • Estancia en el House Institute en Los Ángeles, California
  • Médico Adscrito de Neuro Otología en el Instituto de Neurología y Neurocirugía “Manuel Velasco Suárez” del 2008 al 2019
  • Socio Fundador del Colegio Mexicano de Otología, Neuro Otología y Cirugía de Base de
    Cráneo

Dr. Daniel Cuevas Ramos

Neuro-endocrinología

  • Especialista en Medicina Interna, Endocrinología y Diabetes
  • Maestría y Doctorado en Ciencias Médicas y de la Salud
  • Posdoctorado en Neuro-endocrinología y Tumores Hipofisarios en Cedars Sinai Medical Center, Los Ángeles, California, USA
  • Coordinador de la Clínica de Neuro-endocrinología en el Instituto Nacional de Ciencias Médicas y Nutrición Salvador Zubiran
  • Profesor Titular del Curso de Alta Especialidad en Neuro-endocrinología, UNAM
  • Profesor titular del curso de metodología y estadística básica, División de Estudios de Posgrado, UNAM
  • Investigador Nivel 2 por el Sistema Nacional de Investigadores del CONACYT
  • Miembro de la Academia Nacional de Medicina de México.

Dr. Miguel Ángel Gómez Sámano

Neuro-endocrinología

  • Médico y Cirujano egresado de la Universidad Panamericana con mención honorífica (Premio Extraordinario)
  • Especialidad en Medicina Interna y Subespecialidad Endocrinología
  • Cursos de Alta Especialidad de: Medina en Diabetes y Metabolismo, Neuroendocrinología
  • Todos con sede en el Instituto Nacional de Ciencias Médicas y Nutrición Salvador Zubirán

El Doctor Miguel Ángel Gómez Sámano es egresado con Mención Honorífica y ganador del Premio Extraordinario de su generación de la Universidad Panamericana. Durante su preparación realizó múltiples estancias fuera de México en hospitales como New England Medical Center y Milton Hospital en Boston Massachussets, Texas Children’s Hospital, Hospital Methodist en Huston Texas y en el Memorial Hospital en Chicago.

Posteriormente realizó la Especialidad de Medicina Interna en el Instituto Nacional de Ciencias Médicas y Nutrición Salvador Zubirán. Cuenta con la subespecialidad de Endocrinología por la UNAM en la cual obtuvo los primeros lugares durante su preparación. Cuenta con una Maestría en Ciencias Médicas por la UNAM.

Posteriormente realizó dos Altas Especialidades: Medicina en Diabetes y Metabolismo así como Neuroendocrinología.

Actualmente es Médico Adscrito del Departamento de Endocrinología y Metabolismo de Lípidos, se encuentra a cargo de consulta de endocrinología así como investigador principal de múltiples Ensayos Clínicos aleatorizados y protocolos de investigación.

Es autor de más de 20 artículos publicados en revistas indexadas del más elevado factor de impacto, es coeditor y autor libros médicos, así como de diversos capítulos relacionados con Endocrinología y Metabolismo. CONACYT le ha otorgado el nombramiento del Sistema Nacional de Investigadores nivel I.

Ofrece consulta privada en los siguientes hospitales: Médica Sur, Tlalpan, Hospital HMG, Hospital Ángeles Acoxpa y Hospital Sedna.

 

Ha participado como ponente en un gran número de congresos y convenciones médicas a nivel nacional como internacional.

 

Citas: 5559939816, 5558337914
Contacto: 5527614851
Redes sociales: @drgomezsamano
Mail: miguelangelgomezsamano@gmail.com

 

Dr. Guillermo Domínguez Cherit

Anestesiología / Medicina Interna / Medicina Crítica

  • Médico Cirujano graduado por la UNAM
  • Especialidad en Medicina Interna
  • Especialidad en Anestesiología
  • Especialidad en Medicina Crítica
    Todas con sede en INCMNSZ y reconocidas por la UNAM

  • Estancia profesional en Universidad Autónoma de Barcelona
  • Universidad de Barcelona con enfoque en ventilación mecánica
  • Subdirector de Medicina Critica INCMNSZ
  • Investigador nivel C por los Institutos Nacionales de Salud
  • Miembro Titular Academia Nacional de Medicina
  • Investigador por el SNI nivel II, CONACYT

Dra. Marissa Minutti Palacios

Anestesiología

  • Egresada de la UPAEP Médico Cirujano
  • Especialidad de Anestesiología en INCMNSZ avalado por la UNAM
  • Diplomado de Alta Especialidad en Perioperatorio de Cirugía Endocrina y Obesidad
  • Maestría en Ciencias Médicas por la Universidad Autónoma de Madrid

Dra. Ana Lucía Domínguez Franco

Anestesiología / Dolor y Cuidados Paliativos

  • Egresada de Médico Cirujano por la Universidad del Mayab
  • Especialidad en Anestesiólogos sede INCMNSZ /UNAM
  • Especialidad en Algología y Cuidados Paliativos por INNCMNSZ/UNAM

Dr. Gerónimo Pacheco Aispuro

Neurología

México Distrito Federal a 22de junio del 2021
Nombres: Gerónimo Pacheco Aispuro.
Fecha de Nacimiento: 30 de septiembre del 1978 E-mail:
mdgeronimopacheco@gmail.com
Teléfono: Cel.: 5531905558

Título de Médico Cirujano expedido por la Universidad Autónoma de Sinaloa, Facultad De
Medicina año 1996 – 2001 cedula profesional: 3959352
Especialidad de Neurología en el Hospital de Especialidades del Centro Médico Nacional de Occidente del IMSS; Guadalajara, Jalisco, México. Año 2007-2010.
Cédula de especialista: 6926295
Curso de posgrado de alta especialidad en Enfermedad Vascular Cerebral en el Instituto Nacional de Neurología y Neurocirugía Manuel Velasco Suarez (marzo del 2011 a febrero
del 2012).
Curso de Posgrado de alta Especialidad en Terapia Intensiva Neurológica en el Instituto Nacional de Neurología y Neurocirugía Manuel Velazco Suarez (marzo del 2012 a febrero
del 2013).
Neurólogo del Hospital Ángeles del Pedregal del 2013 a la fecha.
Especialidad en Neurofisiología Clínica en el Centro Médico Nacional 20 de noviembre ISSSTE 2017- 2019.
Cedula de Especialista en Neurofisiología Clínica: 11506319.
Certificado por el consejo mexicano de Neurofisiología Clínica 2019-2024. Miembro activo de la sociedad de Mexicana de Neurofisiología Clínica 2019 a la fecha.
Miembro activo de la American Clinical Neurophysiology Society
Diplomado en Medicina del Sueño Universidad Anáhuac ( 2020 )

Certificate of Attendance to The Epilepsy Center – Clinical Neurophysiology, EEG and
Epilepsy held on September 23- December 13, 2019, Cleveland Clinic, Ohio, USA.
Investigación:

Capitulo de libro: The Neurobiological Sciences Applied to Psychiatry: from Genes,
Proteins and Neurotransmitters to Behavior, 2010: 29-42 ISBN: 978-81-308-0398-2
Editors: Gloria Benitez- King and Carlos Berlanga.
Aspirin versus anticoagulation in intra- and extracranial vertebral artery dissection.
Diferencias entre disección arterial carotídea y vertebral: Estudio hospitalario de
seguimiento a largo plazo en 215 pacientes.
Differences in lipid profiles in two Hispanic ischemic stroke populations.
A Therapeutic Trial of Bioequivalence Between Two Interferons Beta 1a for Tratating Relapsing- Remitting Multiple Sclerosis.

Dr. Jesús Rodríguez Andoney

Medicina Interna / Medicina Crítica

  • Médico Cirujano UNAM
  • Medicina Interna INNSZ/UNAM
  • Medicina Critica INNSZ/UNAM
  • Diplomado de Alta Especialidad en Cardioneumología INNCMNSZ/UNAM
  • Maestría en Ciencias Médicas UNAM

Karla Hurtado A.

Fisioterapia

Fisioterapeuta con 2 años de experiencia en la parte clínica, especialista en fisioterapia deportiva y fisioterapia ortopédica, 6 años de experiencia en entrenamiento funcional, certificada en entrenamiento funcional y masaje terapéutico.